В минздраве Новгородской области сегодня рассказали ещё одну интересную и поучительную медицинскую историю.
Несколько лет назад пожилой жительнице города Холм удалили пупочную грыжу, затем произошёл рецидив послеоперационной грыжи. Со временем грыжа вернулась и достигла большого размера.
Женщина долго не решалась на очередную операцию, но терпеть неудобства становилось всё тяжелее, и она всё-таки обратилась за помощью.
70-летняя холмичка поступила в приёмный покой Новгородской областной клинической больницы.
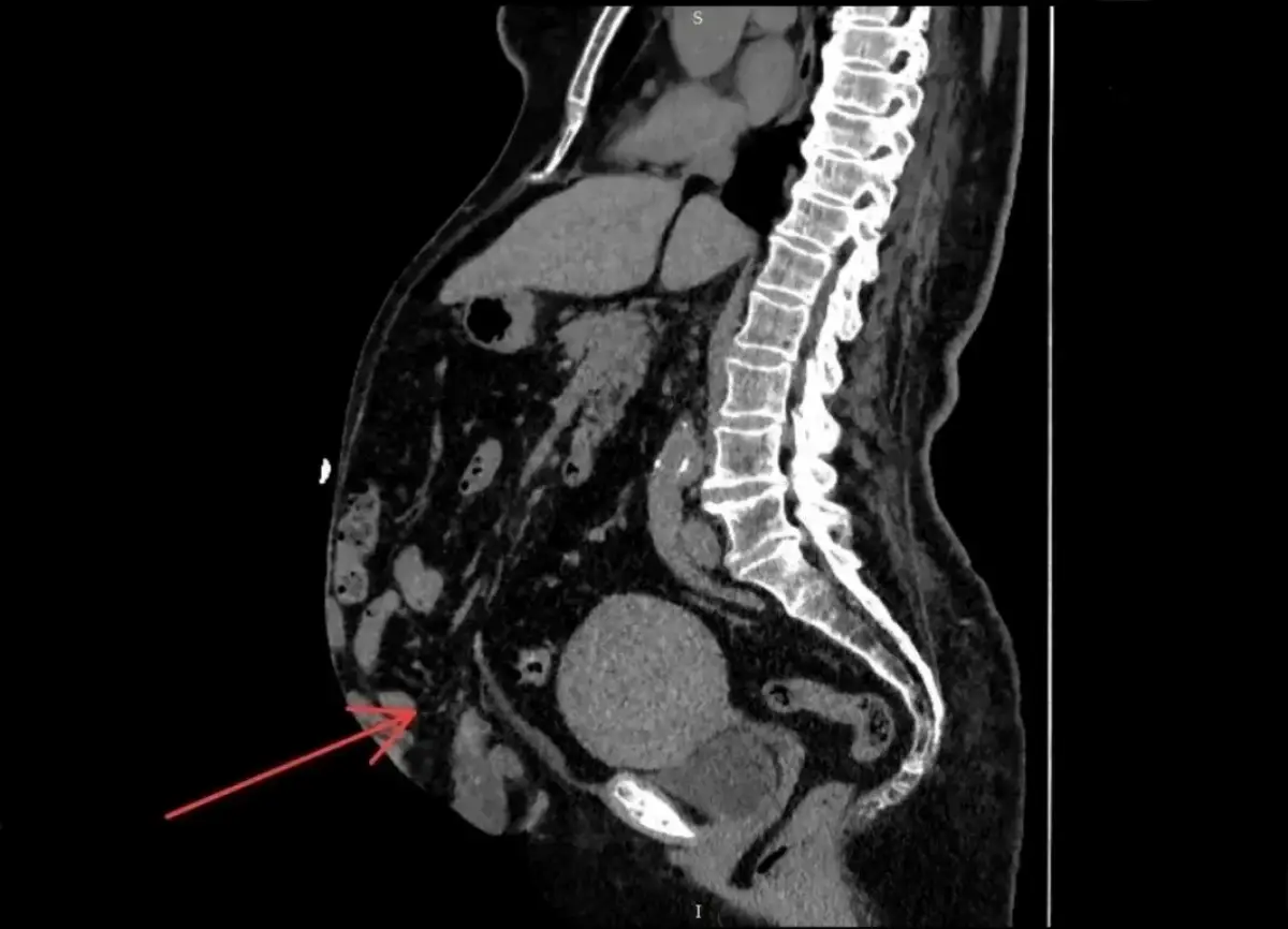
Результаты компьютерной томографии показали, что грыжа достигла 41% от объема брюшной полости. Такое состояние называется потерей домена.

Врач-хирург, заместитель главного врача НОКБ по хирургической работе Вячеслав Смирнов рассказал:
«В год мы оперируем до сорока пациентов с послеоперационными грыжами, из них гигантские встречаются у одного-двух человек.
Для хирурга это не самая простая операция, требуется опыт, отличное знание процедуры. Кроме того, нужна тщательная предоперационная подготовка, чтобы подобрать нужный вид оперативного вмешательства».
В данном случае было решено выполнить ненатяжную пластику с полной реконструкцией брюшной стенки. Это современный метод лечения, при котором удается избежать осложнений и сократить продолжительность операции.
«Пациентка перенесла все благополучно, выписана домой. Не прошло и месяца после операции, а она ведет активную жизнь», - добавил Вячеслав Смирнов.
Сейчас женщина наблюдается у врача в городе Холм и ходит на перевязки. Новгородский хирург продолжает следить за её состоянием дистанционно через телемедицинские консультации в мессенджере МАХ.
Напомним, недавно в Великом Новгороде врачи провели сложную операцию на поджелудочной железе.












